Ending Terminal Cancer with agentic MRI

The world loses 10 million people and $25.2T to cancer each year because we don’t detect it early enough.

45% of cancers are only detected at Stage 3 or 4

>90% survival
when detected early
<30% survival
when detected late

MRI could detect it early enough

Unlike stool, blood, and CT tests, MRI has the potential to detect much more of the true cancer signal at an early stage, consistently sitting at above 90% detection across a range of common cancers.

Best Alternative MRI
Prostate
BreastDense tissue
ColorectalSmall lesions
LungChest wall invasion
0% 50% 100%
% true cancer detected

MRI has four delivery problems

MRI can already get good enough images to screen for cancer. What stops MRI from becoming a population-scale screening tool is the way it is staffed, experienced, sited, and operated.

Problem 1

Every scan depends on scarce specialist staff

Conventional MRI needs expert setup and supervision, which makes routine screening expensive and hard to scale. This makes up 30-50% of the total cost of a scan. Anyone using off the shelf MRI has a fundamental cost floor that makes it hard to bring MRI to more people, more often for screening.

We solve this with autonomous scanning.

Problem 2

The patient experience is too uncomfortable for screening

37% of patients experience moderate to severe anxiety. Noise, claustrophobia, and the feeling of being processed in a hospital environment all reduce uptake for a test people may need repeatedly.

We solve this with a great experience.

Problem 3

Specialist sites with heavy infrastructure

Traditional scanners need dedicated facilities, shielding, and a hospital-style deployment model, which keeps access scarce. If you need a million dollar facility to run a million dollar scanner, you end up with a inevitably high costs.

We solve this by being able to place anywhere.

Problem 4

Expensive, high strength magnets

You need massive field strengths, with superconducting magnets and cryogenics to get good images with traditional MRI. This makes the machines expensive to build and run, and creates safety issues that require heavy screening and specialist facilities.

We solve this by using inherently safe low field magnets and AI

Introducing the world's first agentic MRI scanner for cancer screening

Autonomous

No staff needed when running a scan. This dramatically reduces costs and means that you can get a scan at a time that is convenient for you.

Place anywhere

Our device can be placed anywhere, from your local supermarket, to a remote clinic. We only need a standard plug socket and no cryogenics needed. People can get scanned at time and place that is convenient for them.

Great experience

No loud noises. No claustrophobia. No medical vibes. With our system you can sit back and relax in comfort while watching a video.

Inherently safe

No crush risk. The field strength is in the range of MagSafe. With an initial pre-screening by an app, you can turn up and get scanned without needing to get undressed, or worry about any metal on you.

Our AI powered scanners enable 100x more MRIs

1. Lower Staff Costs

Implementing AI control within the device allows autonomous operation, removing the need for a radiographer. Our AI can detect regions of interest in real time and adapt the scan to focus on them, meaning that you can get a high quality scan without needing a technician to set it up or monitor it.

2. Lower Hardware Costs

AI can extract clinically useful information with only a fraction of the signal, making low-field systems cheaper and safer. We saw at Wayve that you could get great results with just a camera and AI instead of expensive LIDAR. We are applying the same principle to MRI.

3. Better Clinical Results

AI-enhanced diagnostics can surface useful cancer signal earlier than conventional pathways, which is what makes screening viable. Building scanners that make images that are optimised for AIs giving a binary outcome is a much easier task than targeting images that look good for human radiologists, and one that improves dramatically with data volume

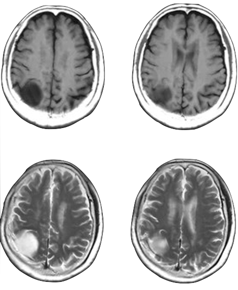
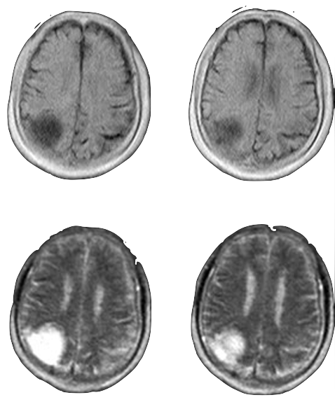
Traditional
3T MRI
AI-Driven
0.055T MRI

MRI source imagery: Liu et al., "A low-cost and shielding-free ultra-low-field brain MRI scanner" (Nat Commun, 2021)

Meet the team

Cambridge engineers who have done it before

John co-founder

John

Co-Founder & CEO · AI, Software & Data

Early engineer at Exscientia and Wayve. Built production-grade data pipelines, trained deployed AI models, and helped set technical direction for high-growth software and autonomy systems.

Simon co-founder

Simon

Co-Founder & CTO · Hardware, Systems & Regulatory

Nearly a decade at CMR Surgical building service operations and delivering reliable hardware in demanding clinical environments. Led key electromagnetic compliance work for CMR’s first successful FDA submission.

We are ending Terminal Cancer. Want to help?

We are speaking with imaging partners, oncology stakeholders, investors, and candidates who want to help build AI-driven MRI for population-scale cancer screening.